医学院袁文彬博士在国际顶尖癌症期刊发表高水平论文

发布时间:2026-03-31 审核人:罗建军 编辑:向文容 浏览次数:

本网消息 近日,医学院袁文彬博士团队以第一作者身份在国际顶尖癌症期刊Molecular Cancer(IF=33.9)发表了题为“m2G tRNA methyltransferase complex THUMPD3-TRMT112 promotes pancreatic cancer progression and autophagy via modulating TFEB translation”的研究论文,湖北工业大学唐景峰教授、周策凡教授为论文的共同通讯作者。

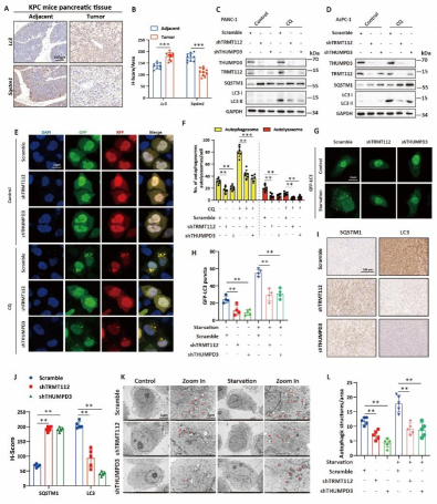
胰腺癌是恶性程度最高的消化系统肿瘤之一,自噬是维持胰腺癌细胞恶性表型的关键过程,但其与tRNA甲基化修饰之间的功能联系此前尚不明确。本研究首次证实,THUMPD3-TRMT112复合物在胰腺癌恶性进展中发挥关键作用:敲低THUMPD3-TRMT112可显著抑制胰腺癌细胞的自噬水平,同时削弱其增殖、侵袭等恶性表型。THUMPD3-TRMT112复合物通过介导tRNALeu(CAG)的甲基化修饰,增强自噬关键转录因子TFEB的翻译效率,进而驱动胰腺癌细胞的自噬与增殖。进一步研究证实,THUMPD3-TRMT112介导的tRNALeu(CAG)m2G修饰是增强TFEB翻译效率的关键机制。

该发现为胰腺癌的进展机制提供了新的见解,提示了靶向THUMPD3-TRMT112复合物的潜在治疗价值,也为靶向THUMPD3-TRMT112-TFEB轴抑制胰腺癌转移提供了潜在的转化方向。 (通讯员 袁文彬)